How Overbites make Chins Look Small and Faces Short

How To Fix a Weak Receding Chin and Balance the Face With Non-Surgical VENLAY® Restorations

Medically Reviewed by Sam Muslin, DDS, MAGD | Last Updated on 03/05/2023

When a patient with a deep overbite closes their teeth together, the overlapping upper teeth force the lower jaw back towards the ears, causing the chin to look smaller than what it is. As we get older, the teeth wear down, the overbite gets worse, the face becomes shorter, and the jawline and receding chin weakens the facial appearance.

How to Correct a Short Face and Small Chin

When patients first become aware of their overbite, they often end up with porcelain veneers, braces, or clear aligners from their local dentist to treat the overbite. It is seldom if ever that one of these options will offer a lasting solution.

Small Chin and Overbite Corrected without Surgery or Braces

The patient explains the results of his non-invasive overbite and chin correction, about three months after treatment.

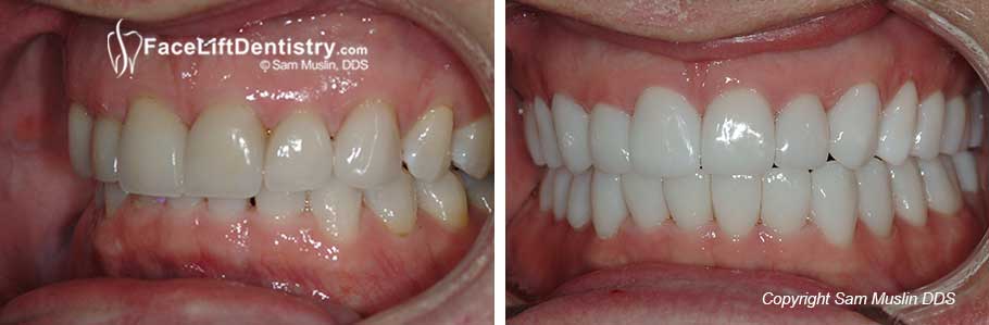
Porcelain Veneers and a Deep Overbite vs. VENLAY® Restorations and a Balanced Bite

A closeup view of an overbite showing the overlap pushing the lower jaw back, resulting in a smaller looking chin.

In the before photo on the left, the lower teeth are overlapped by the upper teeth, forcing the jaw backward. In the after photo, the lower jaw is repositioned forward with JawTrac® Alignment and VENLAY® Restorations which relieved his jaw stress and pain and gave him a masculine chin and a younger shape to his face.

Porcelain Veneers Failed to Correct Weak Chin

He has porcelain veneers on his upper teeth and was disappointed that the veneers failed to correct his chin. No matter how hard cosmetic dentists may try, porcelain veneers cannot correct a weak chin. They can improve your smile but not the chin size.

Porcelain veneers cannot fix an overbite as can be seen in the before photo. The after photo shows correction with VENLAY® Restorations.

It is about your face and not so much your smile. The shape of your face has a big impact on how you present yourself. Porcelain Veneers may make your smile brighter but cannot change the size of your chin or the shape of your face.

Overbite Relapse with Braces

He was willing to go through with braces as an adult if it could help with his small chin and short face. But after a couple of years, the results were unsuccessful, and the patient was disappointed.

Braces could not fix his overbite in the before photo. The after photo shows correction with VENLAY® Restorations.

His face was too short for his anatomy because of the overbite. When the bite is corrected, using this method, his chin size improved, the shape of his face improved and his health also benefitted.

JawTrac® and VENLAY® - Healthy Treatment

Cosmetically he looks and feels younger because this method benefits the health of the patient structurally. When we feel better physically, we look better cosmetically.

Short face and small chin corrected with JawTrac® and VENLAY® - before and after treatment photos.

JawTrac® located his ideal jaw position. Porcelain Veneers were removed, and all of his remaining teeth received VENLAY® Restorations that are individual for each tooth and stay in place for many years.

Can I Eat, Chew and Bite Normally with VENLAY® Restorations?

Yes, you eat, chew and bite normally, but your smile will take on a whole new level along with the facial support from the teeth.

Patient showing corrected overbite and a masculine jawline, without surgery or braces - before and after photo

This is a whole new level of care that saved him from more unsuccessful and painful dentistry, and gave him a renewed confidence and a masculine jawline.

Dr. Sam Muslin deeply appreciates all of the patients that have permitted him to display their photos so they can share their experience and help you understand that this method changes lives.

Sam Muslin DDS, MAGD

Face Lift Dentistry® Is The Future of Bite Correction

Face Lift Dentistry® not only optimizes your smile, but it also optimizes your entire face! Call today and get ready to change your life. Face Lift Dentistry® results are Safer, More Reliable, Testable, and Far More Predictable Healthcare with enormous Cosmetic Impact.

Contact Us

Face Lift Dentistry® fee is $40,000 per upper or lower arch plus any additional dental work such as fillings, gum work, dental implants, etc. Most patients get both the upper and the lower arches done simultaneously to maximize their results and get the most health benefits possible. Face Lift Dentistry® is dental health care that is tax deductible depending on your income, so we advise that you check with your accountant.