Over Bite Fix Without Braces or Clear Aligners in 8-Days

With JawTrac® Jaw Alignment and No-Drilling VENLAY® Bite Restoration

Medically Reviewed by Sam Muslin, DDS, MAGD | Last Updated on 03/05/2023

Small Chins, Sagging Faces, Breathing, and Deep Bites

An over bite or deep bite can be especially harmful to your health and appearance as you grow older, and your teeth start wearing down. When the upper teeth overlap the lower teeth, the jaw is forced back towards the ear canal, which reduces tongue space and constricts the airway. Because of ongoing tooth wear and bruxism, an inordinate amount of stress is placed on the TMJ.

8-Day Over Bite Fix, No Surgery, No Braces

Most of the patients we see with over bites have already had braces and some have had clear aligners years after braces, only to have a deep over bite and a small looking chin and profile. The Face Lift Dentistry® method does not drill away your healthy teeth, there is no surgery, no aligners, and no braces.

You may find it more difficult to speak clearly, often being asked to repeat yourself. An over bite could interfere with your chewing and digestion. Popping and clicking increase. You may have more frequent headaches, have difficulty sleeping, experience neck pain, jaw pain, and even back pain. It becomes cumbersome to open your mouth. The impression you leave with those you meet is no longer one of confidence and professionalism. You look and feel old. You've lost your edge. But there is a great solution – read on!

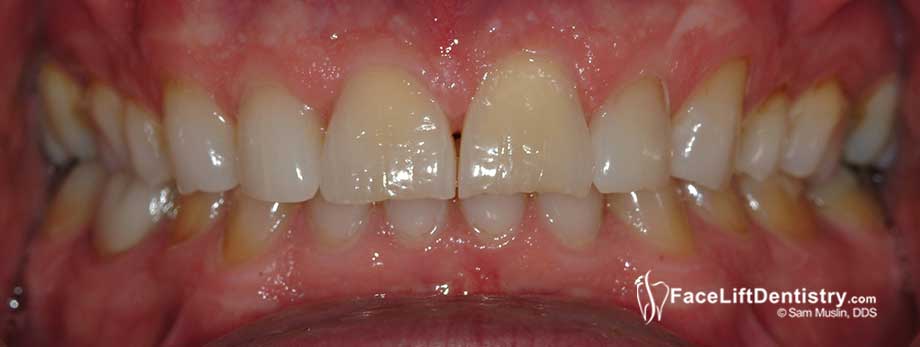
Aging With a Deep Over Bite

Closup photo showing the deep over bite of a maturing adult

The close-up photo shows what a deep bite (or over bite) looks like. The lower teeth can only fit behind the upper front teeth forcing the jaw back towards the patient's ears canal. Some patient experience tinnitus due to deep over bites. Aging accelerates.

Sleep Apnea, Snoring, and Tinnitus

Most patients may not realize that sleeping problems are very often caused, or at least worsened, by a deep over bite or a bad bite.

If you are tired from sleep problems and have stress and tension caused by your aging bite, this treatment may be your saving grace. Your first impression, your ability to establish yourself as credible and to have the ability to live a healthy life comes down to correcting worn down teeth and bad bites such as an open bite or over bites because life expectancy has increased.

The Optimum Over Bite Fix in 8-Days

Before-and-After photo showing an adult patient's over bite treated with no-drilling VENLAY® Restorations

Health and aesthetic benefits. One man looks tired, and the other man looks refreshed. The man that looks refreshed is sleeping better, chewing better, speaking better, and radiates confidence.

Veneers Or Braces Cannot Do This

The patient featured in this case study has a deep over bite and a small looking chin. He considered porcelain veneers but he had no idea that this generally makes over bites worse as dentists grind or cut down teeth to allow for veneers to be bonded to your teeth. Although this will give you sparkling (and bulky) white teeth, you would most likely end up with your jaw in an even worse position.

Veneers vs. VENLAY® Restorations

When this patient understood that his worn down, but healthy teeth would have to be drilled down for veneers, he decided he would search for another method. He found a method that was far superior and did not require drilling, grinding, or cutting down his healthy teeth. As the procedure is only available in Santa Monica, California, he got on a plane and flew in from Alaska. For the optimum correction of his over bite, the choice between veneers vs. VENLAY ® Restorations is not even a contest as veneers cannot correct the bite position to address the cosmetic and physical problems he was experiencing.

Over Bite Fix with VENLAY® Restorations

Deep over bite closeup photo, before and after

VENLAY® restorations bonded using Dr. Sam Muslin exclusive method to his untouched natural, healthy teeth. This patient now has a new bite, new face and a more masculine jawline.

JawTrac® and Jaw Position

Correcting an over bite requires more than the cosmetic camouflage porcelain veneers offer. Successfully treating over bite is only possible once the optimum jaw position is identified, and the jaw moved into that position. You can go to a dentist that will "guess" the jaw position, or you can come to Dr. Sam Muslin who uses JawTrac® to see the best jaw position in real time and then let the patient experience it before treatment starts. Not only will patients experience the comfort of their correct jaw position, but they will also see the effect on their physical appearance. Real life beats computer simulations hands down.

Moving the Jaw to the Correct Position

Jaw repositioned with JawTrac® and over bite Corrected - Before and After Photo

Older looking men and women have thin lips and short round faces. Younger people have longer faces and better facial support because they have the jaw position this is ideal for their facial features.

You Are Never Too Old to Fix Your Bite

Treatment should be started as soon as possible to minimize the severity. People are living a lot longer today and the strain from a malocclusion decreases the quality of life and the health of the patient. Patient's with ideal bite positions, developed by Dr. Sam Muslin's exclusive Face Lift Dentistry®treatment, are sleeping better, digesting their food better, have increased self-esteem and have transformed their lives into a healthy and happy existence. The treatment has been successfully completed on patients as young as 17 years of age and as old as 93 years of age. Because it can be completed with much less tooth grinding, braces or surgery, more patients of all age groups can benefit.

Can you Get Braces to Fix a Deep Bite?

Yes, in some cases, you can get braces or Invisalign® to fix a deep bite. Dr. Muslin provided braces for his younger and older patients for nearly 20 years. However, now he has a much more reliable method to fix an over bite. There is a possibility that braces (or Invisalign®) can provide a fix, at least temporarily. By far too many people are being told they need both jaw surgery and braces. Unfortunately there are a large number of patients that were told they needed jaw surgery to correct the over bite after the braces were started. Then there are many patients that had braces that got worse during the treatment or it failed shortly after the braces were taken off. Braces or clear aligners are not the best treatment for adults because of bite stability problems. Today, there is a much more highly successful and predictable method that has many advantages over braces.

Deep Bites Get Worse With Age

Most people associate over bites with aesthetic features such as a small or recessed chin. There are, however, multiple side-effects related to the untreated over bite.

Shrinking Faces - With the wrong bite, worn down teeth and bruxism accelerates premature aging and shrinking faces. This would not be true if you had the perfect bite when you were 15 years of age. However, most of us never even were close to having the perfect bite, causing us to feel older prematurely.

Speech Problems - Clear word enunciation becomes more difficult as the teeth start wearing down, resulting in less room for the tongue. As the teeth get shorter and the tongue space gets reduced, patients not only have speaking problems but they also have problems enunciating their words clearly.

The Crowded Tongue Syndrome - However, besides slurry speech, the lack of tongue space has an even worse health risk and that is waking up too often or not getting enough sleep. Instead of being grouchy, you could actually feel good about yourself with your bite and jaw idealized with the Face Lift Dentistry® Health Care Method. Less stress, a younger face and better sleep have significant health advantages.

Hidden Teeth - Another issue with worn down teeth is that they cannot be seen as we age. Older people show lower front teeth and younger people show upper teeth. The magic of this method is that he builds a younger bite into an older person thereby making the older person younger looking!

A Deep Bite Makes You Age Faster

Closeup showing the aggravated tooth wear caused by an over bite

His teeth were worn down, and the wear was very uneven. When he would bite together, he had a deep over bite that was causing him to age much faster than normal.

Non-Surgical vs. Non-Invasive Treatment

In layman's terms, Non-Surgical Dentistry means that they are not going to cut down the size of your jaw. However, they may still cut or grind down your teeth. Contrast this to Non-Invasive Dentistry, which does not cut down the size of your jaw and does not cut down your teeth either. It is a no-brainer which is best.

Face Lift Dentistry® is a non-invasive, non-surgical treatment method designed to physically optimize your natural facial features and bone structure. It uses JawTrac® to locate and test the best possible jaw position from a cosmetic and from a physical perspective. It does not require jaw surgery or braces, and your healthy teeth stay intact using VENLAY® Restorations and not veneers.

The Signs of Aging Restored

Over bite corrected and the aging effects reversed, before and after photo.

He saved himself from wasting his money on porcelain veneers because veneers cannot give you a younger face, help you sleep better or give you a smile anywhere near this healthy. Veneers cannot improve the jaw position and don't improve your health most of the time.

Sam Muslin DDS, MAGD

Face Lift Dentistry® Is The Future of Bite Correction

Face Lift Dentistry® not only optimizes your smile, but it also optimizes your entire face! Call today and get ready to change your life. Face Lift Dentistry® results are Safer, More Reliable, Testable, and Far More Predictable Healthcare with enormous Cosmetic Impact.

Contact Us

Face Lift Dentistry® fee is $40,000 per upper or lower arch plus any additional dental work such as fillings, gum work, dental implants, etc. Most patients get both the upper and the lower arches done simultaneously to maximize their results and get the most health benefits possible. Face Lift Dentistry® is dental health care that is tax deductible depending on your income, so we advise that you check with your accountant.