Amelogenesis Imperfecta and Posterior Open Bite Treatment

A Single Bite Correction Treatment with Superior Cosmetic Benefits - No Drilling, No Surgery

Other than a problem with Amelogenesis Imperfecta, this patient also had a bad bite whereby none of his back teeth are able to make contact. He could only chew food with his front teeth.

What is Amelogenesis Imperfecta?

Amelogenesis Imperfecta is an abnormal formation of the enamel that can afflict some teeth or all of the teeth. Patients with amelogenesis imperfecta have yellow, brown or grey colored teeth. The teeth have a higher risk for dental cavities and are hypersensitive to temperature changes as well as rapid attrition, excessive calculus deposition, and gingival hyperplasia (an enlargement or overgrowth of the gum).

Amelogenesis Imperfecta and a Posterior Open Bite

A patient with his teeth affected by Amelogenesis Imperfecta as well as an open bite

None of his back teeth touch. He cannot chew or speak normally. His bad bite was corrected using JawTrac®, VENLAY® Restorations and the Face Lift Dentistry® method. Painless bite correction with no grinding down his teeth and no braces.

Treatment for Amelogenesis Imperfecta

The compromised enamel on the out side of his teeth and on the biting surfaces of his teeth were treated with VENLAY® Restorations that were bonded over his existing teeth without shots, jaw surgery, braces or drilling. His teeth now have a new protective layer that made them much less sensitive, stronger, larger and whiter. His bad bite was corrected simultaneously. It usually takes the doctor three weeks to make the porcelain for each of his patients using his method. The patient flew home while the design elements and the functional elements were combined into one high tech treatment solution.

Open Bite Corrected Non-Invasively and Non-Surgically

Most dentists that he saw wanted to break his upper jaw surgically. He would have to wear braces for a couple of years and then get his teeth ground down to little pegs for porcelain crowns. This high risk treatment choice was just not acceptable to his mother or himself. Dr. Sam Muslin treated his sister for non-surgical underbite correction and the Mom described the results as a “miracle”. He was flown in from Texas to see if he could get similar results even thought his problem was entirely different. He received an open bite fix in order to get his back teeth to contact so he can chew normally. At the same time, his amelogenesis imperfecta was also resolved without pain, tooth grinding, dental shots or jaw surgery. His bad bite was corrected non-invasively and non-surgically and literally without pain.

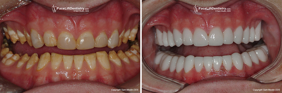
Before and After Amelogenesis Imperfecta and Open Bite Fix

 Before and After Amelogenesis Imperfecta treated and bad bite corrected.

Before Treatment: Close-up view of his teeth affected by Amelogenesis Imperfecta. A bad bite is evident and it's clear that his back teeth could not touch. All 28 teeth were treated with VENLAY® Restorations. His jaw position was developed with JawTrac and the Face Lift Dentistry® method ties everything together so this patient’s treatment was completed in a total of 5 days.

It is not well understood in the dental profession that a full mouth reconstruction can be done non-invasively. It they knew how JawTrac® is utilized; there will be fewer bite adjustments after treatment and the treatment would be highly predictable. This patient has needed no bite adjustments visits so far.

Bite Correction and Amelogenesis Imperfecta

Hear the patient's mother talk about the fact that none of his back teeth touched and he could not chew or speak normally. His bad bite was corrected using JawTrac® Bite Correction, VENLAY® Restorations and the Face Lift Dentistry® method.

How This Can Be Done So Easily?

The patient’s bite, jaw position, face, speech patterns and just about everything else is analyzed by Dr. Muslin. Naturally, most new patients are skeptical but when they see how their face will look on the first visit they are encouraged. This entire analysis is based on the jaw position of the patient and not the bite. Dentists look at bites but this method looks at the jaw position because it is the key to successful TMJ treatment, bite treatment, premature aging solutions, facial profile corrections, small chins, large lower jaw and bite correction for underbites and overbites. He uses JawTrac® for locating the right jaw position for the patient and this jaw position is tested before bonding. The success rate is far higher when the dentist can see what he or she is doing rather than just guessing. The complications, pain and risks of treatment are much lower with this method.

Call the office to discuss your issues so you can make plans to fly out for treatment. We cannot give a diagnosis over the phone but we can get some idea of the treatment you will need once you send us photos, video and dental x-rays of yourself that all taken with your cell phone. They can be easily emailed. Dr. Muslin treats patients from all over the world so we are skilled at helping you plan your trip.

Presently, Dr. Sam Muslin is the only dentist using his JawTrac®, VENLAY® Restorations with the Face Lift Dentistry® method at his practice in Santa Monica, California.

Sam Muslin DDS, MAGD

Face Lift Dentistry® Is The Future of Bite Correction

Face Lift Dentistry® not only optimizes your smile, but it also optimizes your entire face! Call today and get ready to change your life. Face Lift Dentistry® results are Safer, More Reliable, Testable, and Far More Predictable Healthcare with enormous Cosmetic Impact.

Contact Us

Face Lift Dentistry® fee is $40,000 per upper or lower arch plus any additional dental work such as fillings, gum work, dental implants, etc. Most patients get both the upper and the lower arches done simultaneously to maximize their results and get the most health benefits possible. Face Lift Dentistry® is dental health care that is tax deductible depending on your income, so we advise that you check with your accountant.