Neuromuscular Dentistry vs. JawTrac® Jaw Positioning

JawTrac® Alignment for the Most Comfortable Jaw Position to Optimize Your Bite and Transform Your Face

Medically Reviewed by Sam Muslin, DDS, MAGD | Last Updated on 08/16/2022

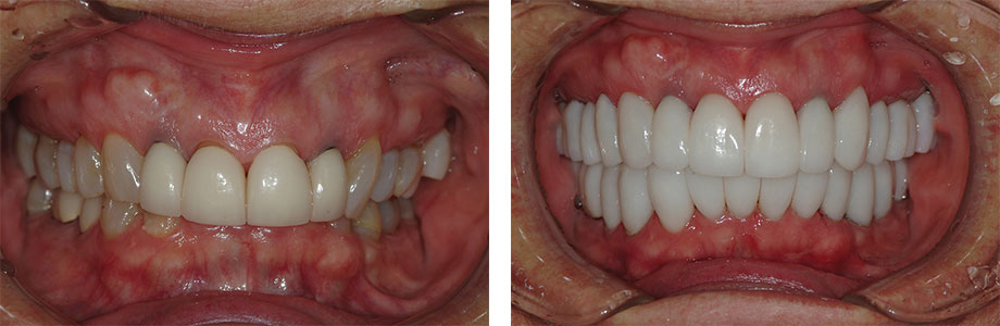
We are looking for the right dentist to treat us, and it may be a surprise to know that there is a wide range of differences in skill, knowledge, and experience between dentists. Many neuromuscular dentists use electronics to help them try to locate a bite position. The $5,000 "orthotic" neuromuscular appliance was a complete waste of time for her. She came into Dr. Sam Muslin’s office, received the JawTrac® appliance the same day and was comfortable very quickly.

The High Cost of Picking the Wrong Dentist

She said, "When I go to a doctor, and I'm a medical professional, I get a sense very quickly about the skill level and knowledge of the doctor I am seeing." The neuromuscular dentist's recommendations were a year of braces and then jaw surgery and then hospitalization along with more braces and then veneers and crowns on all of the teeth. She did not like what she heard.

No Guesswork Mouth Reconstruction and Overbite Correction

When the jawline improves, the shape to the entire face improves. JawTrac® required much less downtime from work, was much faster and the adaptation to the JawTrac® appliance was very quick.

Is Neuromuscular Dentistry Safe?

When a dentist wants to drill down all of your healthy teeth, would you call that safe treatment? If a dentist recommends jaw surgery, which may work, but is jaw surgery safe to get?

We recently treated a patient who had jaw surgery and years of braces for underbite treatment and it went so bad that the patient was left with a small chin and a deep overbite. It was corrected by the Face Lift Dentistry® method with JawTrac® and VENLAY® Bite Restorations without even getting a shot. The patient said: "it was easy compared to jaw surgery."

How Does a Deep Overbite Cause a Small Chin?

The secret to getting the overbite corrected is getting the right position for your lower jaw first. Most patients have small chins because the overbite makes the chin look small. Jawtrac® locates your ideal jaw position first. You will experience comfort first. You will see your new jawline with the JawTrac® appliance immediately.

Closeup photo showing a deep overbite which cause the lower jaw and chin to be pushed back resulting in a small-looking chin.

Her upper teeth totally cover her lower teeth which pushes her lower jaw back towards her throat and it was getting worse with time. The chin is really larger than it looks but because it is forced backward making the chin appear small.

The Optimum Jaw Position with JawTrac® Technology

The jaw position is established, your pain and discomfort are reduced and now your overbite is "optimized" instead of just corrected. You will have a wider smile and a balanced shape to your face and you will see it and feel it before we work on your teeth.

Why is My Jaw Clicking and Popping?

Jaw click and pop because the bite is forcing the jaw joint to operate improperly. There is a disconnect between the teeth, the bite, the jaw position, and the TMJ. Sometimes it goes away after treatment and occasionally, the damage to the joint is too much to stop the clicking and popping.

Illustration showing an overbite pushing the jaw back forcing the meniscus into a stressed position which cause jaw clicking.

Overbites cause jaw tension and physical problems because of the misalignment of the bite, jaw position, and TMJ. They are not working harmoniously together.

Looking Younger with the Ideal Jaw Position

Signs of aging removed after the jaw alligned to the ideal position - before and after photos

She has a younger appearance because of her new jaw position and the proportions of her face have also improved. There is less stress in her head and neck and she has the most ideal jaw position for her anatomical structures. The facial collapse was reversed at the source.

Get Optimized with the Face Lift Dentistry® Method

It is a treatment for patients that want it all. They want the aesthetics that are combined with functionality that does not involve a lot of pain, surgery, drilling down your good teeth and time. Most cosmetic dentists cannot offer this level. Our method involves, no cutting down healthy teeth, no braces or clear aligners and no surgery and the treatment is done quickly. Welcome to the Face Lift Dentistry® Method.

Why Do Patients Fly in from All over the World?

There is no comprehensive method that is as quick, safe and predictable as this method. Patients fly in because it is much quicker, safer and more predictable than treatments that only handle part of the problem. Call us, let us so we can understand your needs and we can help you understand how to receive treatment at this level.

Sam Muslin DDS, MAGD

Face Lift Dentistry® Is The Future of Bite Correction

Face Lift Dentistry® not only optimizes your smile, but it also optimizes your entire face! Call today and get ready to change your life. Face Lift Dentistry® results are Safer, More Reliable, Testable, and Far More Predictable Healthcare with enormous Cosmetic Impact.

Contact Us

Face Lift Dentistry® fee is $40,000 per upper or lower arch plus any additional dental work such as fillings, gum work, dental implants, etc. Most patients get both the upper and the lower arches done simultaneously to maximize their results and get the most health benefits possible. Face Lift Dentistry® is dental health care that is tax deductible depending on your income, so we advise that you check with your accountant.